Home / Our stories / Science - BMS / Thoracic Cancer/Mesothelioma

An insidious and deadly cancer: Mesothelioma

May 31, 2017     

Cancer is a devastating diagnosis, no matter what type. But for people with the rare cancer known as mesothelioma, that diagnosis brings a unique set of challenges.

While most “lung cancers” form in the airways of the lungs, pleural mesothelioma is a thoracic cancer that grows in the membrane around the lungs, part of a protective layer of cells that cover internal organs, known as the mesothelium.

Exposure to asbestos, a natural fiber used for insulation, is by far the most frequent cause of mesothelioma. Though asbestos use has declined substantially, it can take decades following exposure before mesothelioma presents itself.

Mesothelioma is rare, with an estimated 10,000 people diagnosed annually in Australia, Japan, North America and Western Europe combined.  With so few mesothelioma patients, it can be challenging to conduct clinical studies, yet treatment options are desperately needed. 

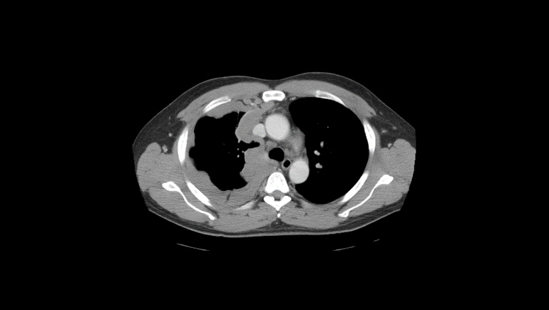
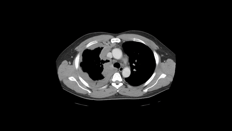
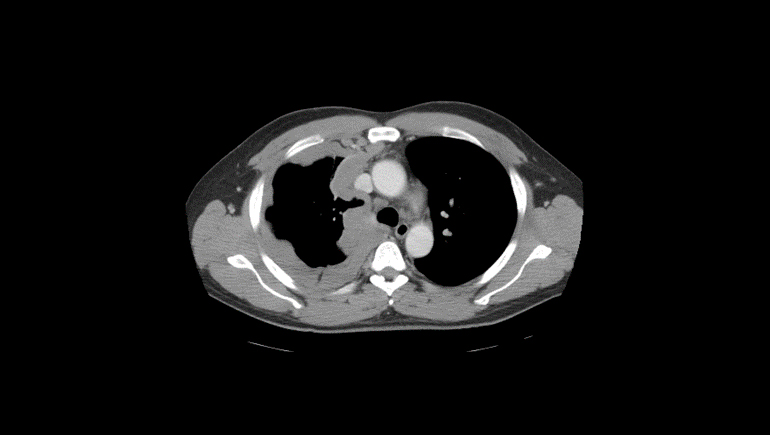
Example scan of a patient presenting with mesothelioma

Example scan of a patient presenting with mesothelioma

“As an oncologist, I saw first-hand the devastating impact of mesothelioma on my patients and their loved ones,” said Lee M. Krug, M.D., Oncology Disease Area Head, Bristol Myers Squibb, and former Director of the Mesothelioma Program at Memorial Sloan Kettering Cancer Center in New York.  “Not only are patients dealing with the physical impact, like chest pain, shortness of breath, and severe fatigue, a mesothelioma diagnosis can also significantly affect a person mentally and emotionally.” 

Every patient’s prognosis varies, depending on factors like stage of disease at diagnosis and underlying health factors, but there is no cure for mesothelioma. Some patients may undergo surgery, but the disease is extremely difficult to remove, and nearly always grows back. Most patients are treated with chemotherapy, but only one effective chemotherapy regimen is available.

“A tremendous need for further research and new medicines remains for patients with mesothelioma,” said Dr. Krug. “BMS is committed to working diligently, and with urgency, to research and develop treatment options that can someday improve outcomes for those diagnosed with this disease.” 

Who Gets Mesothelioma?

  • ~70% of patients have had some kind of asbestos exposure
  • 4x more men than women, due to frequent occupational link
  • 69 years on average at diagnosis